×
重要公告
新竹舒芙美牙醫診所 籌備中,期待與您相見 敬請期待 💐
關於我們
about
關於我們
影音專區
診療項目
services
全口重建
數位植牙
牙齒美白
根管治療
假牙贋復
診療項目列表
門診時間
contact
門診時間(新竹舒芙美)
門診時間(苗栗擎天)
門診時間(新竹佩德)
特約診所
locations
聯絡我們
contact
衛教文章
news
空間環境
space
衛教文章
我們精心整理專業的口腔健康知識,
提供您正確的衛教資訊與預防觀念
讓專業知識成為您維護口腔健康的最佳後盾
2025-06-27
什麼是微笑曲線,怎麼樣的牙齒可以讓笑容更迷人?
我們常聽到微笑曲線,到底什麼是微笑曲線?打造一個迷人的笑容,牙齒佔據了重要的角色。
瀏覽案例
2025-09-30
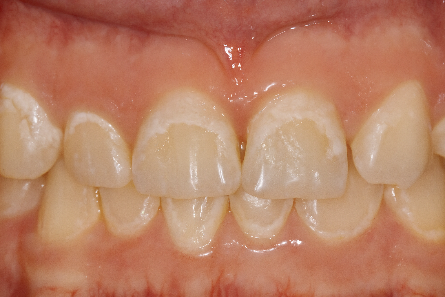
牙齒脫鈣怎麼辦?改善方法與預防重點一次看懂
在照鏡子的時候,你是否曾經發現自己的牙齒表面出現一塊塊白白的斑點,看起來霧霧的、顏色不均...
瀏覽案例